PROTETYKA WARSZAWA PRAGA POŁUDNIE / SASKA KĘPA

Protetyka
Stomatologiczna

Odzyskaj pewność siebie dzięki nowoczesnym rozwiązaniom protetycznym w KOMPLET!

Komplet Stomatologia

Czym jest protetyka stomatologiczna?

Protetyka stomatologiczna to specjalistyczna dziedzina stomatologii zajmująca się odbudową utraconych lub uszkodzonych zębów, przywracaniem pełnej funkcjonalności jamy ustnej oraz estetyki uśmiechu. Naszym celem jest nie tylko uzupełnienie brakujących zębów, ale również poprawa jakości życia pacjentów poprzez odzyskanie komfortu mówienia, jedzenia oraz odzyskanie pewności siebie.

Korzystając z nowoczesnych metod oraz materiałów najwyższej jakości, oferujemy indywidualnie dopasowane rozwiązania protetyczne dla każdego pacjenta, niezależnie od wieku czy stopnia zaawansowania problemu.

Komplet Stomatologia

Dlaczego warto zdecydować się na leczenie protetyczne?

Utrata nawet jednego zęba wpływa negatywnie na ogólny stan zdrowia jamy ustnej. Braki zębowe mogą powodować:

- Zaburzenia funkcji żucia i mowy

- Przemieszczanie się pozostałych zębów

- Deformacje kości szczęki

- Pogorszenie estetyki twarzy i obniżenie pewności siebie

Nasze nowoczesne rozwiązania protetyczne pomagają skutecznie zapobiegać tym problemom, przywracając zdrowy i atrakcyjny uśmiech.

Zaawansowane technologie

Stosujemy najnowocześniejsze technologie, w tym skanery protetyczne 3Shape Trios 5, które pozwalają na precyzyjne i komfortowe wykonanie cyfrowych wycisków zębów.
Dzięki temu:

01.

Eliminujemy stres związany z tradycyjnymi metodami wycisków

02.

Zapewniamy najwyższą precyzję i idealne dopasowanie protez

03.

Skracamy czas leczenia i poprawiamy jego efektywność

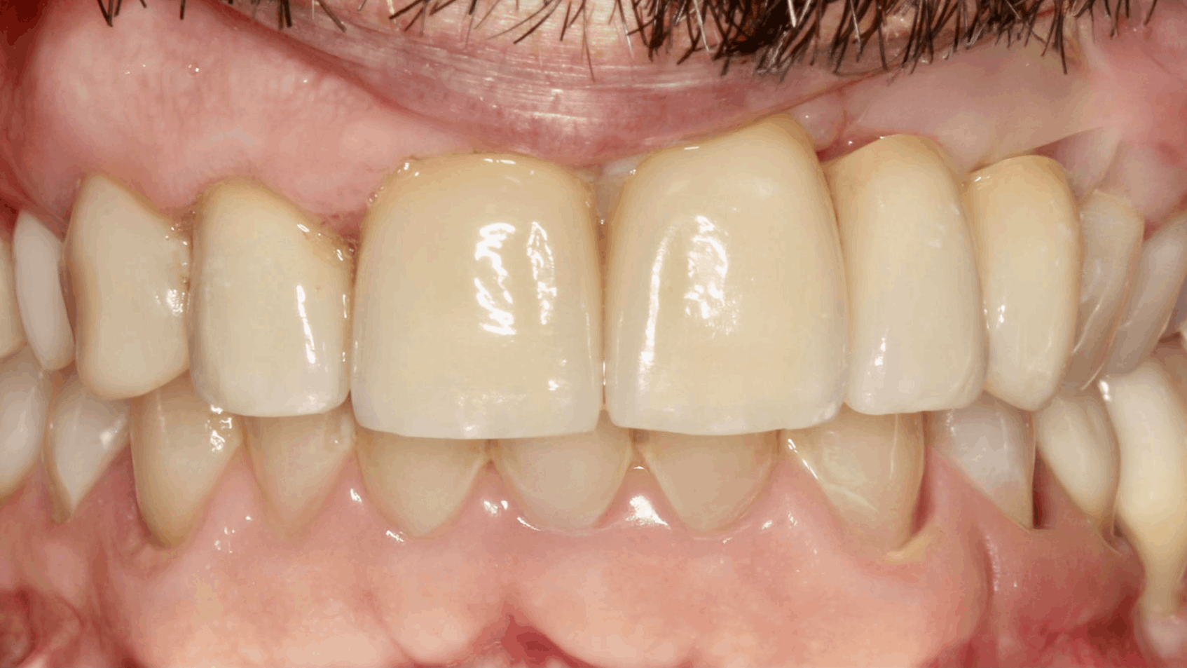
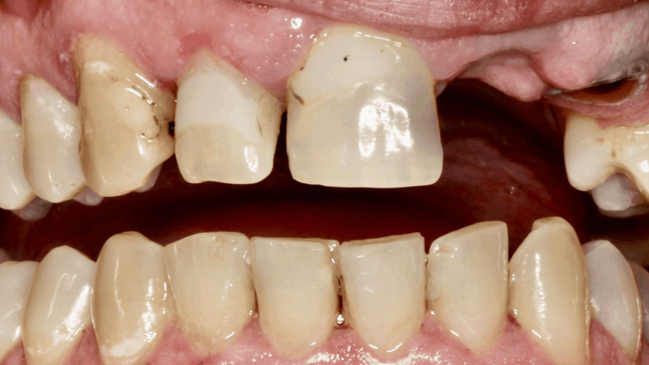
Korony zębowe

Korony to indywidualnie wykonane „nakładki” pokrywające cały ząb, które wzmacniają jego strukturę i przywracają naturalny wygląd. Stosujemy:

Korony pełnoceramiczne

Korony porcelanowe charakteryzują się bardzo naturalnym wyglądem, ponieważ porcelana imituje wygląd naturalnego zęba. Są często stosowane w przypadku zębów przednich, gdzie estetyka jest kluczowa. Korony porcelanowe mogą być bardziej wrażliwe na siły mechaniczne niż metalowe, dlatego zaleca się ich ostrożne użytkowanie.

Korony metalowo-porcelanowe

Korony metalowo-porcelanowe łączą w sobie zalety zarówno metalu, jak i porcelany. Metalowa podstawa zapewnia wytrzymałość, a porcelanowa warstwa poprawia estetykę. Są one często wykorzystywane do zębów tylnych, gdzie zarówno trwałość, jak i estetyka mają znaczenie.

Korony metalowe

Korony metalowe, wykonane z różnych stopów metali, są bardzo trwałe i odporne na ścieranie. Są idealnym rozwiązaniem do tylnych zębów, gdzie estetyka nie jest priorytetem, ale zależy nam na wytrzymałości.

Komplet Stomatologia

Mosty zębowe

Mosty zębowe to zaawansowane uzupełnienia protetyczne przeznaczone do wypełniania przestrzeni po utraconych zębach, stabilizujące sąsiadujące zęby oraz przywracające funkcjonalność i estetykę uśmiechu. Dostępne opcje to:

Mosty stałe

Mosty stałe to najczęściej stosowane rozwiązanie w protetyce stomatologicznej. Są one trwale przymocowane do filarów, co zapewnia ich stabilność i długotrwałość. Mosty stałe wykonuje się z porcelany, metalu lub kombinacji tych materiałów, w zależności od potrzeb pacjenta.

Mosty adhezyjne 

Mosty adhezyjne to nowoczesne rozwiązanie, które polega na mocowaniu mostu do zdrowych zębów za pomocą specjalnych klejów. Jest to rozwiązanie mniej inwazyjne, ponieważ nie wymaga szlifowania filarów, co sprawia, że jest mniej bolesne i bardziej zachowawcze.

Mosty ruchome

Mosty ruchome, znane również jako mosty akrylowe, mogą być wyjmowane z jamy ustnej przez pacjenta. Są one stosowane rzadziej niż mosty stałe i zazwyczaj w przypadku tymczasowych ubytków zębowych lub gdy nie można zastosować mostu stałego z powodu braku odpowiednich filarów.

Komplet Stomatologia

Korony na implantach
najwyższy poziom odbudowy zębów

Korony to indywidualnie wykonane „nakładki” pokrywające cały ząb, które wzmacniają jego strukturę i przywracają naturalny wygląd. Stosujemy:

Pełnołukowa odbudowa na implantach

Kompleksowa metamorfoza uśmiechu, która obejmuje rekonstrukcję wszystkich zębów, zapewniając trwałość, wygodę i doskonały wygląd estetyczny.

Mosty na implantach – efektywne uzupełnienie luk zębowych

Idealne rozwiązanie w przypadku utraty kilku sąsiadujących zębów, szczególnie w strefie trzonowej, przywracające pełną zdolność żucia oraz estetykę.

Korony cyrkonowe na implantach

Nowoczesne, niezwykle trwałe korony wykonane z tlenku cyrkonu. Charakteryzują się wyjątkową estetyką i odpornością mechaniczną, idealne dla osób oczekujących zarówno trwałości, jak i najwyższej klasy estetyki.

Komplet Stomatologia

Robimy różnicę.

Komplet-stomatologia

Klinika
prawdziwie 
rodzinna

Założycielem kliniki jest dr Jakub Sobański, doświadczony implantolog z 25-letnim stażem, który swoją pasję do stomatologii przekazał synom – Antoniemu i Szymonowi. Razem tworzą zespół, który łączy nowoczesne podejście i rodzinne wartości.

Umów wizytę!

Saska Kępa
  • Adres: Zwycięzców 28 lok.30
  • Galeria Handlowa Saska Kępa , 03-938 Warszawa
  • tel. (22) 672-81-49
  • mail. [email protected]

  • Godziny otwarcia: 
  • Poniedziałek - Piątek : 8:00 – 20:00
  • Sobota: 9:00 – 14:00
Grochów

A co mówią
o nas pacjenci?

Długo szukałam odpowiedniego miejsca w Warszawie jeżeli chodzi o stomatologię, aż w końcu trafiłam na przychodnię KOMPLET! Świetni lekarze, świetne podejście do pacjenta. Polecam każdemu z całego serca jeżeli chcecie mieć dobrze zaopiekowane zęby!

ALICJA WOLAK

Doktor Antoni Sobański to prawdziwy magik! Nie spodziewałem się ze licówki będę prezentowały się tak pięknie, jeszcze raz bardzo dziękuję!

JAN GAWIEJCZYK

Pomimo strachu, zabieg przeprowadzony szybko i sprawnie. Fachowe rozwiązanie mojego problemu. Bardzo mocno polecam!

MARCELA KASCHUBA

Polecam gabinet Komplet i doktora Jakuba Sobańskiego. Świetny specjalista, bardzo profesjonalny, ogromne doświadczenie w implantologii. Dwóch innych lekarzy wcześniej stwierdziło że muszę mieć bardzo skomplikowany zabieg uzupełniania kości przed implantami a pan doktor wstawił implanty bez dodatkowych zabiegów. 

JUSTYNA RADECKA

Polecam! Najlepsza przychodnia po tej stronie Wisły, a przeszłam już niejedną. Dr. Jabłoński to specjalista w swojej dziedzinie. Mądry i cierpliwy człowiek. Wszystko tłumaczy i objaśnia co będzie robił. U mnie leczenie kanałowe, a potem odbudowa przeszły całkowicie bezboleśnie! POLECAM

OLIWIA WOJCIECHOWSKA

Często zadawane pytania

Leczenie protetyczne jest zazwyczaj bezbolesne. Zabiegi wykonywane są w znieczuleniu miejscowym, co zapewnia komfort podczas całego procesu leczenia.

Wykonanie korony lub mostu protetycznego zajmuje od kilku dni do dwóch tygodni, w zależności od rodzaju pracy protetycznej.

Tak, implanty zębowe są bardzo trwałe i mogą służyć przez wiele lat, a nawet całe życie przy odpowiedniej pielęgnacji jamy ustnej.

Zalecamy kontrolę przynajmniej raz na pół roku, aby regularnie monitorować stan zdrowia jamy ustnej oraz prac protetycznych.

Tak, korony na implantach są projektowane indywidualnie, by idealnie odwzorować naturalny wygląd i kolor zębów.

Tak, istotna jest regularna higiena jamy ustnej oraz stosowanie specjalistycznych produktów, takich jak nici dentystyczne, szczoteczki międzyzębowe czy płyny do płukania ust, które pomogą zachować prace protetyczne w doskonałym stanie.

KOMPLET

Grochów

Adres: Garwolińska 16, 04-348 Warszawa
tel. (22) 672-81-49
mail. [email protected]

Saska Kępa

Adres: Zwycięzców 28 lok.30
Galeria Handlowa Saska Kępa , 03-938 Warszawa
tel. (22) 672-81-49

Nasze Social Media

Polityka prywatności 

© Copyright 2026 - All Rights Reserved

Designed by HERC MEDia